L’objectif de cette thérapeutique est d’améliorer l’esthétique de la dent affectée par une lésion amélaire non carieuse (malformation de l’émail entraînant une tâche disgracieuse) en étant le moins invasif possible.
Ce traitement est indiqué pour les tâches blanches d’opacité limitée avec une délimitation mal définie.
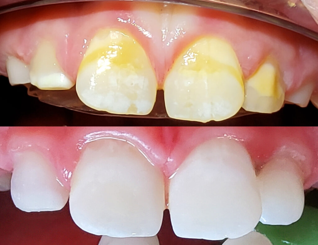
Couplé à une microabrasion amélaire préalable (élimination de 100 microns à la surface de l’émail), ce traitement est indiqué pour les tâches blanches / jaunâtre délimitées.

Ces traitements sont recommandés si ces tâches provoquent un préjudice moral et sont contre-indiqués en cas de non-consentement des parents et/ou de l’enfant.
L’Icon est un produit d’infiltration à base de résine. La substance dentaire est préservée au maximum étant donné qu’il n’y a pas de fraisage (pas d’utilisation des instruments rotatifs abrasifs habituels). Les produits des différentes étapes du traitement à l’Icon sont appliqués à l’aide d’un embout sur la surface de la tâche.
À noté que ce traitement ne nécessite pas d’anesthésie locale et est indolore.