Perte des dents temporaires
Les dents temporaires (dents lactéales) de votre enfant communément appelées « dents de lait » vont commencer à tomber vers l’âge de 6 ans. La date et
Nous vous proposons plusieurs rubriques où vous trouverez conseils et informations concernant la santé bucco-dentaire de votre enfant.
Les dents temporaires (dents lactéales) de votre enfant communément appelées « dents de lait » vont commencer à tomber vers l’âge de 6 ans. La date et

Il est important de prévenir une éventuelle morsure et donc de surveiller votre enfant jusqu’à la levée de l’anesthésie …

Evitez le contact avec les doigts sur la région opérée.
Ne pas cracher ni rincer la bouche la journée …

Les jeunes enfants ne sont pas encore très agiles avec leurs mains et éprouvent de la difficulté à effectuer des gestes compliqués comme …

Il est très important de rendre le rendez-vous de votre enfant le plus agréable possible, de préparer sa visite de façon positive …

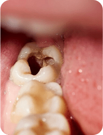
Entre 0 et 4 ans l’émail des dents permanentes de votre enfant se construit. En cas de MIH, les améloblastes (cellules de l’émail) …

Le petite enfance (0-3 ans) constitue une période clé pour la future santé bucco-dentaire de votre enfant.
Plus l’acquisition des …

Votre enfant a subi un traumatisme dentaire, certaines mesures sont à prendre. D’un point de vue médical : éviter la sollicitation des dents …

Un vernis à haute teneur en fluor peut être appliqué sur les dents de votre enfant.
Il a été prouvé scientifiquement que l’application de