
Apexification chez l’enfant
L’objectif de cette thérapeutique est de retirer le tissu pulpaire (« nerf ») nécrosé et d’induire au niveau apical, via un biomatériau …
Expert de l’odontologie pédiatrique, notre cabinet de Doussard (Annecy) vous propose des soins polyvalents et spécifiques pour garantir une prise en charge complète de votre enfant.

L’objectif de cette thérapeutique est de retirer le tissu pulpaire (« nerf ») nécrosé et d’induire au niveau apical, via un biomatériau …

La face occlusale (la face plane ou face mastiquante) de la 1ère molaire permanente (appelée dent de 6 ans) et de la 2ème molaire …

Mainteneur d’espace : appareil dentaire chez l’enfant, en métal ou avec dent en résine, destiné à garder la place pour les dents définitives après la

Les dents de lait ont un rôle de mastication et de maintien de l’espace pour l’arrivée des dents définitives.
Nous essayons au maximum de

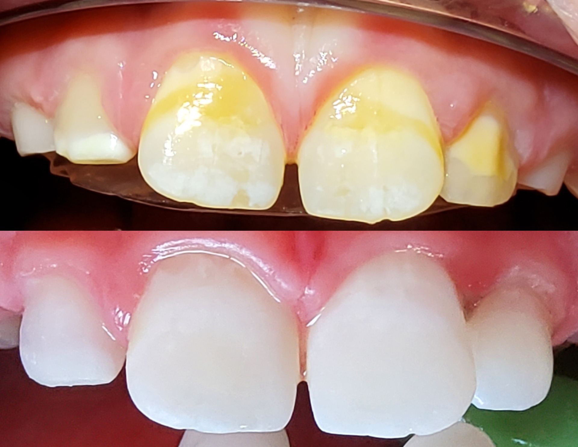
Le fluorure diamine d’argent est un liquide que l’on utilise pour arrêter la carie dentaire. Il est une alternative aux soins classiques …

L’objectif de cette thérapeutique est d’amputer le tissu pulpaire (« nerf ») inflammatoire ou infecté dans la partie haute de la dent …

C’est le traitement de choix pour les dents temporaires (de lait) cariées lorsque la pulpe (appelée familièrement « le nerf ») des racines …

La ventilation, la nutrition, la déglutition et la mastication sont des fonctions vitales.
La ventilation est la première fonction vitale : dès la naissance

L’objectif de cette thérapeutique est d’améliorer l’esthétique de la dent affectée par une lésion amélaire non carieuse …